Мы не навязываем лишние услуги и проводим только необходимое лечение
Вы сразу узнаете сколько будет стоить лечение – никаких сюрпризов
Переводим с медицинского языка на человеческий
Уделяем вам столько времени сколько нужно
Даём гарантию на наши услуги
Своя лаборатория
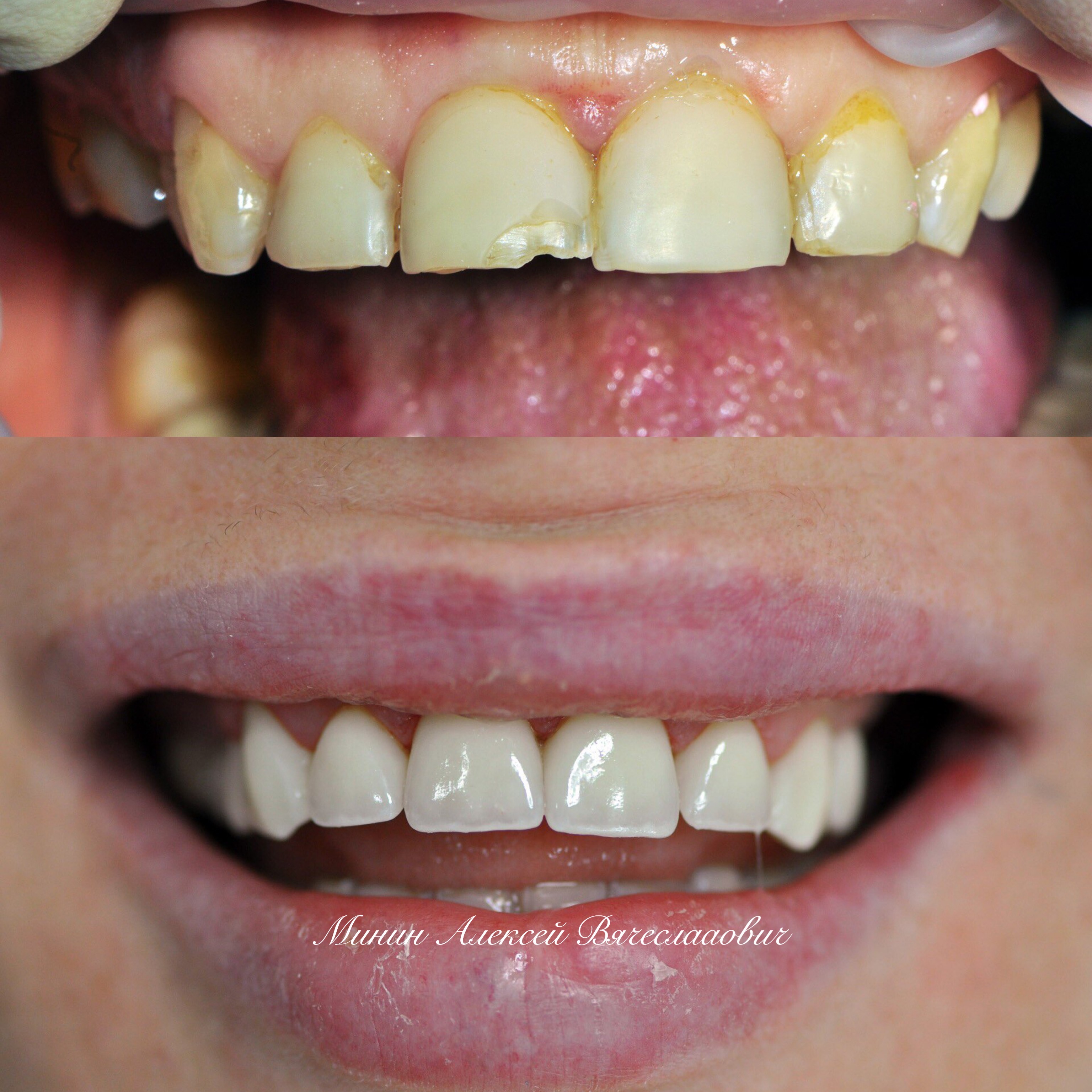
Зубы, которые явно стоят дороже своих денег
Наше главное преимущество – уникальный опыт
Прием ведется врачами более чем с 20 летним стажем
Своя лаборатория
Нам не нужно переплачивать за изготовление коронок
Еще думайте? Позвоните или напишите!
+7 (495) 133-40-52
Никогда не думала,что буду писать отзыв, но эти ребята заслуживают хороший отзыв! Выполнили задачу на высшем уровне!
Мария Харитонова
Безупречная работа. Было очень приятно, что меня внимательно выслушали и предложили решение, основываясь на моих пожеланиях.
Марина Извекова
Данная стоматология мне очень понравилась!!!! Очень грамотные специалисты, которые знают своё дело. Вежливый персонал который встретил с улыбкой и отвечает на все вопросы . Цены лояльные. Всем советую данную стоматологию.
Елена Шестакова
Выражаю огромную благодарность Минину Алексею за очень грамотную консультацию и проделанную работу! Ничего лишнего не навязывал, очень детально объяснил ситуацию с моими зубами,с чем лучше не затягивать, а что может и подождать. Сразу видно специалист очень любит свою работу! Зуб, который вылечил Алексей даже ни разу не заболел после наркоза. Рекомендую!!!
Анжелика Сумаренко
Отличный доктор Алексей Вячеславович. Работает качественно и надёжно, цены адекватные без навязывания лишних услуг.
Вероника
Очень дружелюбная стоматология, легко и безболезненно лечат зубы. Цены очень радуют, лучшие на районе, никогда ничего дополнительно не навязывают, я постоянный клиент уже несколько лет
Кузнецова Дарья
Безупречная работа. Было очень приятно, что меня внимательно выслушали и предложили решение, основываясь на моих пожеланиях.
Михаил Кустов
Все было отлично! Клиника была чистой и приятной, в персонал дружелюбный. Ну и самое главное - все прошло на высшем уровне! Я вышла оттуда с вылеченным зубом и хорошим настроением. Если у вас буду эт проблемы со здоровьем зубов, то рекомендую именно эту стоматологическую клинику!
Ketrin Zeta Jon’s
А если тебе понравиться - приведи друга и получи услугу на свой выбор БЕСПЛАТНОили со скидкой